Test de Médicos - M.I.R.
MIR 2019/20 - Médico Interno Residente - 25-01-2020 - Parte 1

 

 

1. Pregunta vinculada a la imagen nº 1. Mujer de 40 años con obesidad mórbida, que se somete a cirugía bariátrica. Durante la intervención quirúrgica se realiza también una biopsia hepática. ¿Qué tipo de lesión histológica observamos?

Imagen 1

Esteatosis
Esteatohepatitis
Cirrosis
Hepatitis crónica
Resultado:

2. Pregunta vinculada a la imagen nº 2. Hombre de 20 años con antecedentes de asma, que consulta por disfagia e impactación alimentaria. Se le realiza una endoscopia digestiva alta con toma de biopsias esofágicas. ¿Con qué diagnóstico es compatible esta biopsia de esófago proximal?

Imagen 2

Esofagitis por reflujo
Esófago de Barrett
Esofagitis eosinofílica
Esofagitis por Candida
Resultado:

3. Pregunta vinculada a la imagen nº 3. Hombre de 67 años con debilidad muscular proximal de extremidades inferiores de 9 meses de evolución. No refiere ingesta de fármacos ni antecedentes familiares de enfermedades neuromusculares. En la exploración física se observa debilidad muscular asimétrica de ambos cuádriceps (3/5 izquierdo, 4/5 derecho) y de los músculos flexores de los dedos de ambas manos. En la analítica destaca una CK de 750 UI/L (valor normal <150 UI/L). Se realiza una biopsia del músculo cuádriceps derecho. Marque la opción correcta:

Imagen 3

Infiltrado inflamatorio perimisial, ragged-red fibers (fibras rojo-rotas) y atrofia perifascicular: Dermatomiositis
Infiltrado inflamatorio endomisial y vacuolas ribeteadas: Miositis con cuerpos de inclusión
Necrosis coagulativa, inclusiones lipídicas y regeneración de fibras musculares: Miopatía necrosante autoinmune
Atrofia de fibras tipo II, infiltrado inflamatorio endomisial y regeneración de fibras musculares: Distrofia miotónica de Steinert
Resultado:

4. Pregunta vinculada a la imagen nº 4. Mujer de 55 años intervenida quirúrgicamente por lesión tumoral hepática. Se muestra una imagen macroscópica del tumor y del parénquima no tumoral, y una imagen microscópica del tumor, que corresponde a uno de los siguientes diagnósticos:

Imagen 4

Hepatocarcinoma sobre hígado normal
Hepatocarcinoma sobre hígado cirrótico
Colangiocarcinoma sobre hígado normal
Colangiocarcinoma sobre hígado cirrótico
Resultado:

5. Pregunta vinculada a la imagen nº 5. Mujer de 50 años, sin antecedentes de interés, que presenta desde hace 3 meses unas lesiones dolorosas en la boca (lengua, paladar, mucosa oral) que no han mejorado a pesar de haber realizado múltiples tratamientos tópicos. Las lesiones le dificultan la ingesta y refiere haber perdido 7 kg de peso. En las últimas semanas le han aparecido unas lesiones en el tronco y en la exploración se observan varias erosiones y alguna costra. Al frotar alrededor de las erosiones la piel vecina se despega fácilmente. ¿Cuál de los siguientes hallazgos NO encontraríamos en esta paciente?

Imagen 5

Depósitos de IgG y C3 en la membrana basal
Depósitos de IgG y C3 intercelulares
Anticuerpos frente a la desmogleína 1
Anticuerpos frente a la desmogleína 3
Resultado:

 

 

 

 

6. Pregunta vinculada a la imagen nº 6. Paciente de 25 años con crisis epilépticas desde hace 1 año, en tratamiento con carbamazepina y fenitoína, que por falta de respuesta se cambió hace dos semanas a lamotrigina. Consulta por lesiones cutáneas que comenzaron hace 24 horas con edema facial, y que posteriormente se generalizaron en forma de rash eritematoso máculopapular. Presenta mal estado general, poliadenopatías y fiebre de 38,5° C. En la analítica destaca GOT 230 U/L, GPT 253 U/L, GGT 145 U/L y eosinofilia de 1200 / μL. El diagnóstico más probable es:

Imagen 6

Sarampión
Síndrome DRESS
Síndrome de Stevens Johnson
Angioedema
Resultado:

7. Pregunta vinculada a la imagen nº 7. Niño de 9 meses con antecedentes de tres episodios de infección del tracto urinario (a los 14 días de vida, 1 mes y 2 meses) y en tratamiento antibiótico profiláctico. Los estudios diagnósticos realizados muestran reflujo vésicoureteral bilateral (grado V derecho y II izquierdo) y disminución del tamaño del riñón derecho con leve dilatación pielocalicial (II/V) en la ecografía. Con estos datos y la imagen gammagráfica renal que se muestra, el diagnóstico más probable es:

Imagen 7

Nefropatía cicatricial derecha postpielonefritis
Estenosis de la unión pieloureteral derecha
Pielonefritis aguda derecha
Displasia multiquística del riñón derecho
Resultado:

8. Pregunta vinculada a la imagen nº 8. Mujer de 28 años sin antecedentes personales ni familiares de interés, que consulta por aparición de una masa supraclavicular izquierda, sin otra sintomatología acompañante. Se le realiza analítica básica en la que únicamente destaca una LDH de 373 UI/L. Considerando los datos clínicos y la prueba de imagen (PET-TC con 18F-FDG) ¿qué diagnóstico es el más probable?

Imagen 8

Carcinoma tímico con diseminación a distancia
Enfermedad asociada a IgG4
Sarcoidosis
Síndrome linfoproliferativo estadio IV
Resultado:

9. Pregunta vinculada a la imagen nº 9. Mujer de 39 años que consulta por hemorragia genital desde hace 24 horas. Su última regla fue hace 7 semanas. No tiene dolor, aunque presenta náuseas y vómitos persistentes desde hace 4 días. La exploración ginecológica muestra sangrado escaso procedente de la cavidad uterina. El test de embarazo es positivo y la determinación de ß- HCG en plasma es de 105.000 UI/L. Se aporta imagen de la ecografía transvaginal. ¿Qué indicaría en ese momento?

Imagen 9

Repetir seriadamente cada 2 días la ecografía y la ß-HCG
Tranquilizar a la paciente, indicar reposo, antieméticos y repetir la ecografía en una semana
Legrado uterino
Tratamiento con misoprostol por vía sistémica
Resultado:

10. Pregunta vinculada a la imagen nº 10. Lactante de 25 días que presenta lesiones en la cara desde hace 2 días que se van acentuando. En la exploración se observan máculas eritematosas confluyentes, descamativas, con secreción serosa amarillenta, localizadas en ambas mejillas, surco nasogeniano, orejas y región retroauricular, frente y mentón. Resto de la exploración normal. ¿Qué diagnóstico es más probable?

Imagen 10

Eritema toxoalérgico del recién nacido
Dermatitis atópica
Dermatitis seborreica
Impétigo neonatal
Resultado:   Pregunta Anulada por el Tribunal

 

 

Canal YouTube OPOSITOMANÍA

OPOSICIONES SANIDAD

www.auxiliar-enfermeria.com

CELADORES ONLINE Blog

La mayor colección de test online de profesiones sanitarias de la web

EL CELATA GARRAPATA Blog

Canal YouTube EL CELATA GARRAPATA

 

 

11. Pregunta vinculada a la imagen nº 11. Joven de 15 años sin antecedentes de interés. Presenta tumoración ósea malar izquierda deformante con afectación orbitaria externa de años de evolución. ¿Cuál es el diagnóstico más probable que sugiere la imagen mostrada?

Imagen 11

Granuloma eosinófilo
Metástasis ósea
Displasia fibrosa
Hiperparatiroidismo
Resultado:

12. Pregunta vinculada a la imagen nº 12. Paciente de 72 años remitido a urgencias tras padecer un síncope. Presenta hipotensión y dolor abdominal con irradiación lumbar. Se realiza TC abdominal con contraste intravenoso. ¿Cuál sería su diagnóstico y la actitud a seguir?

Imagen 12

Absceso de psoas izquierdo. Realizaría tratamiento sintomático y lo mantendría en observación a la espera de analíticas y otras pruebas complementarias
Aneurisma de aorta abdominal roto. Es una emergencia y la primera opción es tratamiento quirúrgico o endovascular
Completaría el estudio con una ecografía abdominal para realizar el diagnóstico diferencial entre absceso de psoas y aneurisma de aorta abdominal roto
Tumoración hipervascular del psoas. Realizaría resonancia magnética para una mejor caracterización
Resultado:

13. Pregunta vinculada a la imagen nº 13. Mujer de 72 años con antecedentes de fibrilación auricular en tratamiento con anticoagulantes orales. Presenta dolor abdominal focalizado en hipogastrio y fosa ilíaca izquierda. INR 5. Hemoglobina 8,7 g/dl, hematocrito 25 %. ¿Cuál es el diagnóstico que le sugiere la imagen?

Imagen 13

Hernia complicada de pared abdominal
Seroma post-quirúrgico
Absceso en la vaina del recto anterior izquierdo del abdomen
Hematoma en la vaina del recto anterior izquierdo del abdomen
Resultado:

14. Pregunta vinculada a la imagen nº 14. Joven de 16 años sin antecedentes previos, que es traído a urgencias por sus familiares por dificultad respiratoria aguda y dolor torácico. A su llegada muestra intenso trabajo respiratorio, frecuencia cardiaca 120 lpm, tensión arterial 75/40 mmHg y SatO2 86% con aire ambiente. Considerando la radiografía de tórax, ¿cuál es la medida a tomar más apropiada?

Imagen 14

Realizar una TC torácica de alta resolución
Repetir la radiografía añadiendo una proyección lateral
Realizar fibrinolisis urgente con 100 mg de tenecteplasa
Colocar un drenaje torácico en la cavidad pleural derecha
Resultado:

15. Pregunta vinculada a la imagen nº 15. Hombre de 37 años no fumador y sin antecedentes médicos de interés que presenta un cuadro de más de tres semanas de evolución de tos seca persistente, febrícula y dolores articulares erráticos. Entre las pruebas que le solicita su médico se incluye una radiografía de tórax. ¿Cuál de los siguientes diagnósticos sospecha en primer lugar?

Imagen 15

Tuberculosis
Artritis reumatoide
Hipertensión arterial pulmonar secundaria a insuficiencia cardiaca izquierda
Sarcoidosis
Resultado:

 

 

 

 

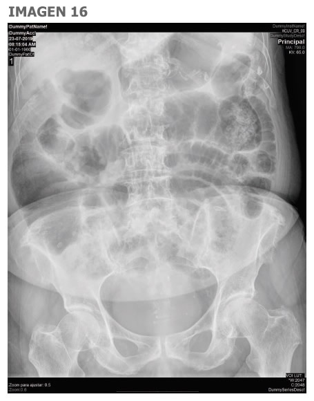
16. Pregunta vinculada a la imagen nº 16. Mujer de 94 años que acude a urgencias por dolor abdominal difuso e intenso de 12 horas de evolución y defensa abdominal. Entre sus antecedentes destaca cardiopatía isquémica crónica, fibrilación auricular persistente y enfermedad renal crónica. A raíz de los hallazgos de la radiografía de abdomen indique la actitud a seguir:

Imagen 16

Ecografía urgente como test de cribado inicial, si es normal no son necesarios más estudios radiológicos
Radiografía de abdomen en bipedestación o decúbito lateral izquierdo para valorar presencia de gas ectópico
TC abdominopélvico con contraste intravenoso con protocolo de angio-TC por sospecha de isquemia mesentérica
Arteriografía para descartar oclusión aguda de arteria mesentérica
Resultado:

17. Pregunta vinculada a la imagen nº 17. Mujer de 42 años, peluquera de profesión, que refiere omalgia al elevar el brazo. Tras una semana de evolución el dolor se presenta también en reposo y por las noches. ¿Cuál es el diagnóstico más probable según la radiografía del hombro?

Imagen 17

Capsulitis adhesiva
Lesión del labrum
Bursitis subacromial
Tendinitis cálcica
Resultado:

18. Pregunta vinculada a la imagen nº 18. Hombre de 56 años, fumador activo, no hipertenso ni dislipémico, que consulta porque hace 7 días presentó malestar general con dolor centrotorácico y disnea de esfuerzo, encontrándose asintomático en el momento de la consulta. ¿Cuál es el diagnóstico más probable, según el trazado electrocardiográfico?

Imagen 18

Tromboembolismo pulmonar
Miocardiopatía hipertrófica
Necrosis e isquemia subepicárdica anterior
Miopericarditis aguda
Resultado:

19. Pregunta vinculada a la imagen nº 19. Hombre de 41 años que consulta por diplopia, ptosis palpebral y dolor ocular derechos de dos días de evolución. Se muestra el estudio de resonancia nuclear magnética (corte coronal). El diagnóstico más probable es:

Imagen 19

Compresión tumoral del quiasma óptico
Hemorragia intraparenquimatosa
Infiltración tumoral del seno cavernoso derecho
Esclerosis múltiple
Resultado:

20. Pregunta vinculada a la imagen nº 20. Mujer de 32 años con antecedentes de epilepsia desde la infancia, retraso mental, angiofibromas faciales y manchas hipomelánicas. Por un cuadro de dolor abdominal se le realiza una tomografía computarizada abdominal donde se aprecian lesiones renales. ¿De qué tipo de lesión se trata y que enfermedad padece?

Imagen 20

Quiste renal / poliquistosis renal autosómica dominante
Carcinoma renal de células claras / enfermedad de Von Hippel Lindau
Angiomiolipoma renal / esclerosis tuberosa
Neurofibroma / neurofibromatosis
Resultado:

 

 

Canal YouTube EL CELATA GARRAPATA

 

 

21. Pregunta vinculada a la imagen nº 21. Hombre de 22 años que consulta por dolor ocular izquierdo desde hace 48 h. En las últimas horas se añade pérdida visual ipsilateral, con agudeza visual 0,6/1 en ojo izquierdo y 1/1 en ojo derecho. Aporta la resonancia magnética de la imagen. Señale la respuesta correcta:

Imagen 21

Tiene en torno al 85 % de probabilidades de presentar bandas oligoclonales en el líquido cefalorraquídeo
No necesita pruebas adicionales para establecer el diagnóstico
Lo importante es tratar el cuadro y luego ya completaremos el estudio
Posiblemente se trata de una neuromielitis óptica
Resultado:

22. Pregunta vinculada a la imagen nº 22. Mujer de 85 años que acude a urgencias por náuseas, vómitos y distensión abdominal. No refiere cirugías abdominales previas pero sí varios episodios de colecistitis. En la analítica urgente se evidencia discreta leucocitosis con desviación izquierda y PCR elevada. Se aporta radiografía simple de abdomen y TC abdominal. ¿Cuál de las siguientes actuaciones considera más recomendable?

Imagen 22

Colecistectomía laparoscópica
Sonda nasogástrica descompresiva
Enterolitotomía quirúrgica
Resección segmentaria de ileon terminal
Resultado:

23. Pregunta vinculada a la imagen nº 23. Un paciente presenta una fractura cerrada cuya radiografía en proyección antero-posterior puede revisar en la imagen adjunta. ¿Cuál de las siguientes opciones de tratamiento le parece correcta?

Imagen 23

Clavo intramedular acerrojado proximal y distal
Ortesis de tipo PTB (patellar tendon bearing) y deambulación desde el momento inicial
Fijador externo circular y deambulación precoz
Reducción abierta y placa y tornillos bloqueados
Resultado:

24. Pregunta vinculada a la imagen nº 24. A un paciente de 55 años se le solicita una MAPA (Monitorización Ambulatoria de la Presión Arterial) de 24 horas, por presentar en consulta valores de presión arterial en la categoría normal-alta, para descartar una hipertensión arterial enmascarada. El resultado del estudio se observa en la imagen. Los promedios de presión arterial fueron: media de 24 horas 121/73 mmHg, media en el periodo diurno 124/75 mmHg, media en el periodo nocturno 111/65 mmHg. La presión arterial sistólica nocturna descendió un 10,4 % de la media de los valores diurnos y la presión arterial diastólica nocturna descendió un 13,9 % de la media de los valores diurnos. De las siguientes opciones ¿cuál se corresponde mejor con la MAPA realizada?

Imagen 24

Normotensión y patrón dipper
Normotensión y patrón no dipper
Hipertensión y patrón dipper
Hipertensión y patrón no dipper
Resultado:

25. Pregunta vinculada a la imagen nº 25. Hombre de 47 años que acude por presentar desde hace 48 horas fiebre y dolor torácico de características pleuríticas en hemitórax izquierdo, a pesar de estar recibiendo tratamiento desde hace 15 días con amoxicilina/clavulánico por una sinusitis de evolución tórpida. En la exploración la temperatura es de 37,8°C, la tensión arterial 180/100 mmHg, destaca el aspecto postrado del paciente. En la exploración cardiorrespiratoria y abdominal únicamente destacan unos crepitantes audibles en hemitórax izquierdo. Exploración neurológica normal. En la analítica destaca hemoglobina 10,5 g/dL y VCM 89 fL, 12.000 leucocitos/mm3 con discreta neutrofilia y plaquetas de 450.000/mm3. La creatinina es de 1,7 mg/dL. Una tira reactiva urinaria muestra 5-10 leucocitos, 5-10 hematíes y proteínas +. Se muestra la radiografía de tórax postero-anterior. Indique cuál de las siguientes determinaciones analíticas solicitaría para confirmar el diagnóstico:

Imagen 25

Anticuerpos anti-proteinasa 3
Enzima convertidor de la angiotensina
Galactomanano
Anticuerpos anti-membrana basal glomerular
Resultado:

 

 

 

 

26. Pregunta vinculada a la imagen nº 26. Mujer de 90 años con antecedentes de enfermedad de Alzheimer en estadio terminal (Global Deterioration Scale 7), dependencia para todas las actividades básicas de la vida diaria y disfagia ocasional a líquidos. Acude a urgencias por presentar en las últimas horas delírium hipoactivo, taquipnea, taquicardia rítmica y temperatura axilar de 37,3°C. La exploración física es dificultosa y no aporta más datos destacables. Ante la radiografía de tórax que se muestra, ¿cuál es el diagnóstico más probable?

Imagen 26

Tromboembolismo pulmonar
Edema agudo de pulmón
Neumonía intersticial aguda
Neumonía broncoalveolar aguda
Resultado:

27. Pregunta vinculada a la imagen nº 27. Hombre de 56 años con antecedentes de hipertensión arterial y cáncer de colon con metástasis hepáticas, actualmente en tratamiento quimioterápico. Acude a urgencias por disnea. Constantes: frecuencia cardiaca 110 lpm, tensión arterial 115/55 mmHg, frecuencia respiratoria 29 rpm, SatO2 89%. Exploración: uso de musculatura respiratoria accesoria, murmullo vesicular conservado en todos los campos. La primera prueba diagnóstica de la que se dispone es el electrocardiograma. ¿Cuál es la sospecha clínica más probable?

Imagen 27

Fibrilación auricular
Tromboembolismo pulmonar
Síndrome coronario sin elevación del segmento ST (SCASEST)
Infarto agudo de miocardio de cara diafragmática
Resultado:

28. En relación con las proteínas plasmáticas, señale la afirmación INCORRECTA:

La albúmina se sintetiza en el hígado y se metaboliza en numerosos tejidos, permitiéndoles a los mismos aprovechar los aminoácidos provenientes de su degradación
La albúmina es la proteína mayoritaria del plasma, por ello participa en el mantenimiento de la presión oncótica
La albúmina interviene en el transporte de bilirrubina directa o conjugada, como así también de ácidos grasos, calcio, y algunas vitaminas, hormonas y fármacos
Al existir numerosas variantes genéticas de la albúmina, es posible observar una doble banda de albúmina en un proteinograma, que se conoce como bisalbuminemia, pero que carece de significación clínica
Resultado:

29. En relación con la vía de las pentosas fosfato (conocida también como derivación de la hexosa monofosfato), indique la respuesta correcta:

La primera reacción de la rama no oxidativa de esta vía es la transformación de la glucosa 6-fosfato por la glucosa 6-fosfato deshidrogenasa
Cuando la célula sólo requiere NADPH (forma reducida de nicotinamida adenina dinucléotido fosfato), la pentosa 5-fosfato de la vía se recicla a glucosa 6-fosfato mediante una carboxilación dependiente de biotina
Las formas anormales de glucosa 6-fosfato deshidrogenasa con menor actividad catalítica afectan gravemente a los tejidos porque carecen de mecanismos alternativos para sintetizar NADPH o para inducir la síntesis del enzima
La obtención de NADPH por esta vía protege particularmente a los eritrocitos de la agresión oxidativa
Resultado:

30. Para conocer si el uso habitual de ácido acetilsalicílico se asocia a un mayor riesgo de hipertensión se selecciona un grupo de sujetos, se averigua cuántos están tomando ácido acetilsalicílico y se les sigue durante 5 años para identificar los casos nuevos de hipertensión. Señale la respuesta correcta sobre el diseño de este estudio:

Es un ensayo clínico porque se realiza con fármacos
Es un estudio ecológico porque se sigue a muchos sujetos
Es un estudio de casos y controles, en el que los casos toman aspirina y los controles no
Es un estudio de cohortes, porque se sigue a sujetos clasificados según su exposición para identificar el riesgo de una enfermedad
Resultado:

 

 

Canal YouTube OPOSITOMANÍA... Locos por las Oposiciones

 

 

31. En una población se produjeron 2.000 accidentes mortales de tráfico desde el 1 de enero al 31 de diciembre de 2019. ¿Qué medida de frecuencia de accidentes se ha utilizado?

Prevalencia puntual
Prevalencia de periodo
Letalidad
Incidencia
Resultado:

32. De los siguientes criterios de causalidad en una asociación estadística entre una exposición y un resultado, ¿cuál es el único necesario?

Plausibilidad o coherencia biológica
Consistencia
Relación temporal adecuada
Fuerza de la asociación
Resultado:

33. Referido a los sesgos que afectan a la evaluación de las pruebas diagnósticas, señale la respuesta INCORRECTA:

El sesgo de adelanto diagnóstico se caracteriza porque la prueba, a pesar de no mejorar el pronóstico, parece mejorar la supervivencia de los pacientes
El sesgo del voluntario sano se debe a que estos sujetos suelen ser más responsables de su salud, por lo que tendrían una mayor supervivencia independientemente del cribado
El sesgo de duración se produce por seleccionar casos más graves y más letales
El mejor método para eliminar estos sesgos es la aleatorización de los participantes; un grupo se someterá al cribado y otro no
Resultado:   Pregunta Anulada por el Tribunal

34. Con respecto al riesgo relativo, señale la respuesta INCORRECTA:

Es la razón entre la incidencia acumulada en los expuestos y la incidencia acumulada en los no expuestos
Sus valores varían entre 0 y 1
No tiene unidades
Para su correcta interpretación es necesario conocer su intervalo de confianza
Resultado:

35. De los cinco momentos recomendados en la higiene de manos, señale la respuesta INCORRECTA:

Antes del contacto con el paciente
Después del contacto con el paciente
Antes del contacto con el entorno del paciente
Después del contacto con el entorno del paciente
Resultado:

 

 

 

 

36. Entre las precauciones a tomar en el aislamiento por gotas se EXCLUYE:

Habitación individual
Mascarilla de partículas (N95)
La puerta de la habitación puede permanecer abierta
Poner al paciente una mascarilla quirúrgica si es preciso trasladarlo fuera de la habitación
Resultado:

37. Informamos a la gerencia de nuestro hospital de que la densidad de incidencia de infección en la Unidad de Cuidados Intensivos (UCI) es de 15 por mil y nos preguntan qué significa esa cifra. Nuestra contestación debería ser:

Si hubiera 1.000 pacientes ingresados en la UCI, cada día habría 15 infecciones nuevas
De cada 1.000 ingresos en el hospital, 15 se infectan en la UCI
El riesgo diario de ingresar en la UCI es de 15 cada 1.000 habitantes en la población de referencia
Se infectan 15 pacientes de cada 1.000 que ingresan en la UCI
Resultado:

38. Una mujer embarazada acude a la consulta por una hipercolesterolemia. ¿Qué fármaco estará contraindicado por el riesgo elevado de anomalías fetales demostrado en humanos, que excede a su posible beneficio terapéutico?

Ácido nicotínico
Gemfibrozilo
Simvastatina
Colestiramina
Resultado:

39. Ante un paciente con enfermedad de Parkinson que presenta náuseas al comienzo del tratamiento con agonistas dopaminérgicos, ¿qué fármaco utilizaría para mejorar dicho síntoma?

Cleboprida
Domperidona
Metoclopramida
Sulpirida
Resultado:

40. Uno de los siguientes fármacos es específico para prevenir la aparición de crisis epilépticas generalizadas no convulsivas, por bloquear los canales de calcio de tipo T. Indique cuál:

Levetiracetam
Zonisamida
Lamotrigina
Etosuximida
Resultado:

 

 

Canal YouTube EL CELATA GARRAPATA

 

 

41. Si utilizamos una pauta de administración repetida con un fármaco que tiene una vida media de 8 horas, la concentración plasmática en equilibrio estacionario se alcanzará:

Tras 16 horas del comienzo de la administración
Tras 24 horas del comienzo de la administración
Tras 32 horas del comienzo de la administración
Tras 40 horas del comienzo de la administración
Resultado:

42. En relación con el control del flujo sanguíneo coronario, es FALSO que:

Si aumenta la fuerza de la contracción cardiaca, también aumenta la velocidad del flujo coronario
En presencia de concentraciones muy bajas de oxígeno en los miocitos, aumenta la disponibilidad de adenosina
El efecto directo de la activación simpática coronaria puede provocar tanto vasocostricción como vasodilatación
Los efectos directo e indirecto de la actividad parasimpática coronaria (vagal) provocan vasodilatación de las arterias coronarias
Resultado:

43. Indique cuál de los siguientes factores provoca un aumento de la cantidad de oxígeno que libera la hemoglobina:

Disminución de los iones hidrógeno
Disminución del CO2
Aumento de la temperatura
Disminución del 2,3-bis-fosfoglicerato
Resultado:

44. El proceso de anticipación genética, por el que las manifestaciones clínicas de una enfermedad son más graves a medida que pasa de una generación a otra, es consecuencia habitualmente de:

Acumulación de mutaciones puntuales en un gen a medida que pasan las generaciones
Acumulación de mutaciones puntuales en varios genes de la misma vía a medida que pasan las generaciones
Mutaciones por expansión de tripletes
Cambios transgeneracionales en la acetilación de la cromatina
Resultado:

45. Mujer de 15 años que presenta un retraso en la menarquia y una talla baja. No tiene discapacidad intelectual. ¿Cuál de las siguientes pruebas genéticas se utilizaría habitualmente para el diagnóstico de esta paciente?

Secuenciación masiva (NGS)
FISH
Microarrays de ADN y/o de ARN
Cariotipo
Resultado:

 

 

 

 

46. En el tratamiento de la enfermedad inflamatoria intestinal pueden utilizarse anticuerpos monoclonales humanizados dirigidos frente al TNF-alfa (como el adalimumab) o frente a la integrina a4ß7 (como el vedolizumab). En relación con la integrina a4ß7 (también llamada LPAM-1) es cierto que:

Se une a ICAM-1 y es responsable del paso de linfocitos desde la sangre periférica a los ganglios linfáticos
Es un receptor para TNF-a en los linfocitos T CD4+ del sistema linfoide asociado a mucosas
Se expresa en las células del epitelio gastrointestinal en pacientes con enfermedad inflamatoria intestinal
Se une a la adresina MadCAM-1 y favorece el paso de linfocitos desde la sangre periférica a la placa de Peyer y la lámina propia intestinal
Resultado:

47. El Ministerio de Sanidad recomienda que durante el tercer trimestre del embarazo las mujeres sean revacunadas frente a Bordetella pertussis, causante de la tosferina. ¿Por qué?

Para que el sistema inmune de la madre produzca anticuerpos de isotipo IgM, específicos contra el patógeno, que permitan que tanto ella como el feto se encuentren inmunizados
Para que el sistema inmune de la madre produzca anticuerpos de isotipo IgG, específicos contra el patógeno, que permitan que, tras el nacimiento, el bebé se encuentre inmunizado de forma pasiva
Para que el sistema inmune del feto produzca anticuerpos de isotipos IgM e IgG, específicos contra el patógeno, que permitan que, tras el nacimiento, el bebé se encuentre inmunizado de forma activa
Para que el sistema inmune de la madre produzca linfocitos T memoria, que atraviesen la placenta y permitan que, tras el nacimiento, el bebé se encuentre inmunizado de forma pasiva
Resultado:

48. En una mujer de 40 años, no embarazada y sin antecedentes patológicos de interés, diagnosticada de rinitis alérgica leve-moderada intermitente por sensibilización a pólenes de gramíneas, ¿cuál de los siguientes tratamientos sintomáticos es de elección?

Hidroxicina oral y bromuro de ipratropio (aerosol nasal)
Bilastina oral y mometasona (aerosol nasal)
Dexclorfeniramina oral y cromoglicato tópico nasal
Ketotifeno oral y oximetazolina tópica nasal
Resultado:

49. Hombre de 60 años en tratamiento con carbamazepina por padecer epilepsia y que presenta fiebre (38,8°C), odinofagia, conjuntivitis, lesiones cutáneas parduzcas extendidas en una gran parte de la superficie corporal, de aspecto similar a una diana y que se acompañan de desprendimiento epidérmico (superior al 30 %) al menor roce. Es muy probable que esté presentando un cuadro clínico de:

Urticaria aguda de causa farmacológica
Eritema exudativo minor secundario a fármacos
Síndrome de Stevens-Johnson farmacológico
Necrolisis tóxica epidérmica
Resultado:

50. Son causa de calcificación metastásica todas las siguientes EXCEPTO:

Necrosis celular
Enfermedad de Paget del hueso
Metástasis ósea difusa
Elevación de hormona paratiroidea
Resultado:

 

 

El Celata Garrapata Blog

 

 

51. El vasopresor de elección para mantener la presión de perfusión en un enfermo con shock séptico es:

Dopamina
Noradrenalina
Dobutamina
Fenilefrina
Resultado:

52. Durante una anestesia general la temperatura del paciente ha ido aumentando progresivamente y usted llega a la conclusión de que sufre un cuadro de hipertermia maligna. Referente a esta complicación, una de las siguientes afirmaciones es cierta:

Está producida por el uso de anestésicos halogenados y relajantes musculares no despolarizantes. Debe tratarse con benzodiacepinas
Está producida por el uso de barbitúricos y opioides. Debe tratarse con dantroleno
Está producida por el uso de anestésicos halogenados y relajantes musculares despolarizantes. Debe tratarse con dantroleno
Está producida por el uso de ketamina y anestésicos locales. No tiene tratamiento
Resultado:

53. ¿Cuál de las siguientes funciones NO corresponde a los Comités de Ética Asistencial?

Realizar el asesoramiento ético preceptivo de un ensayo clínico con seres humanos
Asesorar en casos clínicos con dilemas éticos complejos donde es recomendable una deliberación cuidadosa
Explorar las necesidades formativas en el campo de la bioética de los profesionales de la institución
Asesorar a pacientes o familiares que consultan sobre un problema ético en relación con la asistencia sanitaria
Resultado:

54. Respecto a los tumores de las glándulas salivales:

El carcinoma adenoide quístico es el tumor más frecuente de las glándulas salivales y asienta típicamente en la glándula parótida
El carcinoma adenoide quístico es el tumor más frecuente de las glándulas salivales y asienta típicamente en la glándula submaxilar
El adenoma pleomorfo es el tumor más frecuente de las glándulas salivales y asienta típicamente en la glándula parótida
El adenoma pleomorfo es el tumor más frecuente de las glándulas salivales y asienta típicamente en la glándula submaxilar
Resultado:

55. Señale cuál de los siguientes es el colgajo locorregional indicado para la cobertura de un defecto cutáneo de la cara interna de la rodilla:

Colgajo de músculo recto abdominal transverso basado en la arteria epigástrica inferior profunda
Colgajo de gastrocnemio medial, basado en la arteria sural media
Colgajo anterolateral de muslo, basado en la rama descendente de la arteria circunfleja femoral lateral
Colgajo radial fasciocutáneo, basado en ramas perforantes de la arteria radial
Resultado:   Pregunta Anulada por el Tribunal

 

 

 

 

56. En cuanto a la reconstrucción de la sonrisa en pacientes con parálisis facial, podemos afirmar que:

No se recomienda realizar una reconstrucción dinámica sin hacer previamente una reconstrucción estática
La reconstrucción dinámica consiste en realizar una transferencia de músculo neurotizado
La reconstrucción estática está indicada en casos en los que la parálisis facial lleva establecida menos de un año
Las suturas nerviosas directas desde un nervio motor con el nervio facial dañado pueden ser realizadas en los primeros meses de producirse la lesión del nervio facial
Resultado:

57. En relación con los analgésicos opioides potentes que se utilizan habitualmente para tratar el dolor intenso en pacientes con enfermedad crónica avanzada irreversible, señale la respuesta INCORRECTA:

El fentanilo debe ajustarse en caso de insuficiencia renal
La morfina presenta una vida media de 4 horas
La oxicodona presenta menor incidencia de náuseas que la morfina
La buprenorfina se puede administrar transdérmicamente
Resultado:   Cambiada la Respuesta Correcta por el Tribunal: de la A a la B

58. Ante un paciente que se encuentra en situación terminal, con un pronóstico vital inferior a un mes, y que presenta un cuadro de anorexia intensa, señale cuál de los siguientes tratamientos le parece más apropiado para tratar este síntoma:

Acetato de megestrol (320 - 480 mg/día)
Paroxetina (10 - 20 mg/día)
Oxibutinina (2,5 – 10 mg/día)
Dexametasona (4 - 8 mg/día)
Resultado:

59. De los siguientes métodos, ¿cuál es el más fiable para la estimación del intervalo post-mortal en el período precoz de la muerte?

Cuantificación de potasio en humor vítreo
Observación de la evolución de las livideces cadavéricas
Determinación de la temperatura rectal
Valoración de la reactividad ocular al colirio de acetilcolina
Resultado:

60. En una paciente menor de edad, todas las infecciones siguientes se deben sospechar como causadas por contacto sexual, una vez que se ha descartado la transmisión perinatal. Solo una de ellas tiene un origen probablemente NO sexual en niñas pequeñas. Indique cuál:

Neisseria gonorrhoeae faringea
Chlamydia trachomatis genital
Molluscum contagiosum del área genital
Trichomona vaginalis
Resultado:

¿Quieres hacer este test en tu móvil?... PINCHA AQUÍ

    

TCAEs   Celadores   Enfermería   Cuidadores   TTS   Funerarios   OposSanidad   Opositolandia   Montalvos   InfoSACYL   Hospitalandia   ForoSanidad

    

Todos los Test Online clasificados por Servicios de Salud

    

Este sitio web emplea cookies de terceros como ayuda para prestar servicios y, al utilizarlo, estás aceptando su uso...  +INFO

Aviso Legal